プレスリリース

Large-scale epidemiological study on feline autosomal dominant polycystic kidney disease and identification of novel PKD1 gene variants
Fumitaka Shitamori, Ayaka Nonogaki, Tomoki Motegi, Yuki Matsumoto, Mika Sakamoto, Yasuhiro Tanizawa, Yasukazu Nakamura, Tomohiro Yonezawa, Yasuyuki Momoi, Shingo Maeda*(*責任著者)
Journal of Feline Medicine and Surgery 2023 July 25 DOI:10.1177/1098612X231185393
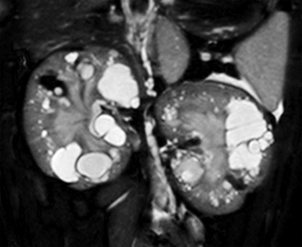
多発性嚢胞腎はネコで最も多い遺伝性腎疾患とされていますが、日本での発生率はよくわかっていませんでした。本研究では比較的大規模なネコの疫学調査を実施することで国内での発生率や好発品種をはじめて推定しました。
ネコの多発性嚢胞腎はPKD1遺伝子のエクソン29にナンセンス多型(chrE3:g.42858112C>A)が生じることで発症することが知られており、この一つの多型がネコの多発性嚢胞腎の多くの症例で検出されます。しかし多発性嚢胞腎を発症したネコの一部ではPKD1遺伝子エクソン29のナンセンス多型(chrE3:g.42858112C>A)が認められない症例も報告されており、その他の多型の存在が推測されていました。
本研究では、多発性嚢胞腎のネコでのみ見つかった新規の多型として、PKD1遺伝子エクソン15に4種類の多型(chrE3:g.42848361A>C、chrE3:g.42848725delC、chrE3:g.42849470G>C、chrE3:g.42850283C>T)を同定しました。今回の知見は、ネコの多発性嚢胞腎の新規遺伝子診断の開発および遺伝子検査に基づいた適切な交配による予防法の確立につながることが期待されます。
本研究は、科研費(課題番号:JP19H00968および23H00357)およびアニコムキャピタル研究助成(EVOLVE)の支援により実施されました。
本研究成果は国際科学雑誌「Journal of Feline Medicine and Surgery」に日本時間7月25日午後6時に掲載されました。

図: ネコの多発性嚢胞腎でみられるPKD1遺伝子エクソン29ナンセンス多型
多発性嚢胞腎を発症したネコの多くでPKD1遺伝子のエクソン29に”TGC”がストップコドンである”TGA”に置換するナンセンス変異(chrE3:g.42858112C>A)を認める。